Wat is orthodontie?
Orthodontie is een specialisme in de tandheelkunde. De term orthodontie komt van de Oudgriekse woorden orthos (recht) en odontos (tand).
Letterlijk vertaald, het houdt zich bezig met het optimaliseren van de stand van tanden, kiezen in de kaken. meer ...
Voor een beugel naar de specialist
De geneeskunde kent diverse specialisten, zoals bijvoorbeeld een kinderarts, cardioloog of internist. Ook de tandheelkunde kent specialisten, zoals de orthodontist. Orthodontisten houden zich uitsluitend bezig met de behandeling van problemen met de stand van kaken en tanden.
Orthodontisten zijn tandartsen die na de reguliere tandartsenopleiding een vierjarige specialistenopleiding aan de universiteit hebben gevolgd. meer ...
De werking van slotjes wordt hier gedemonstreerd. De geheugendraad keert terug naar zijn oorspronkelijke vorm en neem de slotjes mee. De tanden komen daardoor in de boogvorm van de draad te staan.
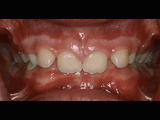
Voorbeeld van het oplossen van een diepe beet gecombineerd met een terugliggende onderkaak.
De hoektanden in de bovenkaak zijn vast komen te liggen. De kaakchirurg maakt door vrijleggen de tanden zichtbaar, waarna er slotjes op geplakt worden. Met behulp van de beugel worden de hoektanden op de goede plaats gezet.
Bij een omgekeerde frontbeet is soms een operatieve ingreep nodig. Het filmpje laat een simulatie zien van de verandering.





